NovoGro®パティ埋植後わずか6週で、広範囲の新たな海綿骨の成長が確認された。
NovoGro®パティはリモデリングを経て、12週ではさらに多くの骨と置き換わっている。

moldable bone substitute
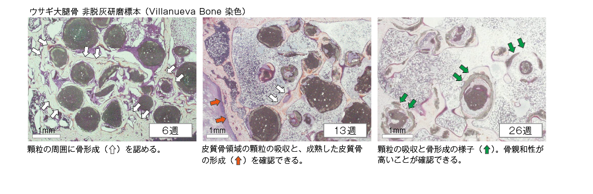
ウサギ大腿骨遠位部の骨幹端部に作製した直径4mm×深さ8mmの欠損にNovoGro®パティをそれぞれ埋植し、6週、13週、26週で埋植部およびその周囲の状態を組織学的に観察した結果、埋植後6週において新生骨の形成を認め、顆粒の周囲にも強い骨標識が観られました。
また、非脱灰研磨標本(Villanueva Bone 染色)では埋植後6週で顆粒周囲に骨形成を確認でき、13週では皮質骨領域のNovoGro®パティが吸収され、成熟した皮質骨の形成が認められました。
さらに26週においては、顆粒の吸収が亢進し、骨形成の様子から骨親和性が高いことが確認できます。
ウサギの大腿骨外側顆に作成した6mm x 10mmの欠損にNovoGro®パティを埋植。
新生骨の量と埋植したNovoGro®パティの残存量を術後6週と12週で組織学的検査とmicro CTを用いて定量化。
NovoGro®パティ埋植後わずか6週で、広範囲の新たな海綿骨の成長が確認された。
NovoGro®パティはリモデリングを経て、12週ではさらに多くの骨と置き換わっている。
NovoGro®パティで治療した欠損の治癒の進行は、6 週間から 12 週間で小柱の密度と厚さの変化によって X 線写真で観察されました。NovoGro®パティは 12 週間でより放射線透過性が高くなったように見え、グラフトが再構築されるにつれて粒子の明確な球形、サイズ、および多孔性が変化しました。